Implant Dentures – Oklahoma City, OK
A Convenient, Secure Way to Restore Your Smile
With a staggering 40 million Americans believed to be missing all their natural teeth, the good news is that today’s tooth replacement options are better than ever. But despite their improvements, prosthetics like traditional dentures still leave a lot to be desired. Thankfully, dentures can now be combined with dental implants to provide optimal functionality, comfort, and longevity.
With over 30 years of experience, Dr. Hermen is proud to partner with a team of trusted local oral surgeons to ensure that you get the best results from your dental implant procedure. To learn more about this treatment can change your smile and your life, contact us to schedule a consultation today.
What Are Implant Dentures?

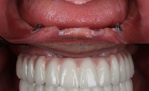
An implant denture combines the convenience of dentures with the durability of dental implants. Unlike traditional dentures that sit on top of your arches and can be removed at any time, implant dentures attach to the jaw securely via four to six dental implants. These posts are surgically inserted into the jaw, where they permanently fuse with the bone via osseointegration. Once healed, a denture can then be anchored in place on the post, where it will remain until your dentist removes it, or in some cases you may be able to yourself if a removable denture is selected. Dr. Hermen can discuss the pros and cons of each prosthetic during your consultation.
Fixed/Permanent Implant Dentures
Fixed implant dentures were designed to stay securely in place and can only be removed by a dentist. They typically attach via four to six strategically placed and positioned dental implants in the jawbone and can permanently support a full denture. This type of prosthetic is often preferred by patients because they can forget they even have dentures; however, they do require more jawbone density than other options.
Removable Implant Dentures
Also known as “snap-on” dentures, removable implant dentures are still held in place securely via dental implants but instead of staying in place until a dentist removes them, they use clips or ball sockets so that the patient can remove them as needed. Although this style of implant denture must be taken out daily for cleaning, they typically only require two to five dental implants.
The Implant Denture Procedure

Dr. Hermen is proud to partner with local specialists to ensure that your dental implant procedure is done safely and precisely. Although each dental implant treatment will differ slightly from patient to patient, all follow the same four basic steps: the consultation and preliminary treatments, dental implant surgery, osseointegration and abutment placement, and of course, the delivery of your final restoration. Although it’s true that this process takes a bit longer than getting traditional dentures, most patients find that the benefits are well worth the wait!
Am I a Candidate for Implant Dentures?

The great news is that most adults in good oral and overall health can be excellent candidates for implant dentures, especially if they’re tired or frustrated with dealing with traditional dentures. During your consultation with Dr. Hermen, he will review your specific needs and goals with you before explaining all your options and his recommendations. To be an ideal candidate, you’ll need to be in good enough health to undergo a minor surgical procedure, and your smile must be free of any oral health issues like cavities or gum disease. You’ll also need to have sufficient jawbone density to support your chosen style of implant denture.
If necessary, we will be happy to schedule a bone graft procedure to help get your jaw ready for your newly restored smile.
Benefits of Combining Dentures & Dental Implants

Although they take more time and cost more money initially, implant dentures offer an amazing variety of important benefits you simply won’t find with other restorations. These include:
- Save you money over time by eliminating replacement costs associated with traditional dentures.
- No more denture sores.
- Eat a wider range of healthy, delicious foods.
- No more worrying about your dentures slipping out while eating or speaking.
- Keep your prosthetics in while you sleep.
- No more wasting money on soaks and adhesives.
- Save time on oral hygiene by brushing and flossing your prosthetics like you would real teeth.
